马上注册,结交更多好友,享用更多功能,让你轻松玩转社区。
您需要 登录 才可以下载或查看,没有账号?立即注册

x
整理:雨过天晴 审核:张蕻梅教授、钱哲教授、鹰版 2月9日,第十一期“肺常守护,北京胸科医院MDT云端护航行动”线上会诊活动如约而至。来自肿瘤内科、胸外科、放疗科、影像科及病理科的六位专家,分别从不同维度和专业角度出发,融合多学科智慧,针对三例复杂小细胞肺癌病例进行了详细解读,并给出了全面、专业的诊疗建议。
- p+ ]4 j5 K3 z2 F/ {- c0 K为了帮助未能观看直播的患者及家属掌握核心内容,小编特将此次会诊中的精华内容进行了系统梳理与汇总,希望能为更多患者提供参考借鉴。 ' K0 c0 v9 g0 i, u9 W/ k
线上会诊申请流程: 添加小助手微信(微信号:yagw_help29),按要求提交详细病历,审核后告知结果,会诊时患者可上线与专家直接交流5分钟,详细沟通病情。 观看直播回放: 点击文末左下方【阅读原文】可观看直播回放,建议患者以线上视频实际专家讲述为主。 4 K6 m+ E* h" t: B4 L
主持人 钱 哲 教授 北京胸科医院肿瘤中心 ' y" Z& X! N5 f9 a. [1 J! I7 L
会诊专家 胡 瑛 教授 北京胸科医院肿瘤中心 张 旭 教授 北京胸科医院放疗科 董宇杰 教授 北京胸科医院病理科 高 远 教授 北京胸科医院肿瘤中心 王 丰 教授 北京胸科医院胸外科 李成海 教授 北京胸科医院医学影像中心
! @; b; p6 \' B4 l
病例一:高龄合并肺炎SCLC,免疫与放疗如何兼顾? 患者概况: 77岁,女性,患有高血压(服用缬沙坦) 既往史:2010年输卵管良性肿瘤手术 身体状态:失眠、便秘、腹胀,其余情况尚可,每天可散步6-8千步,生活可以自理。 2025.10.13因咳血到院检查,CT平扫怀疑肺部肿瘤; 2025.10.15 进行CT肺部增强检查&PET CT检查并穿刺取病理。根据PET CT影像判断为小细胞肺癌,伴有L5椎体、右侧髂骨、左侧股骨头转移、双侧肺门、纵隔、颈部淋巴结转移、左侧肾上腺增粗伴高代谢(待排除)。 25.10.17根据穿刺病理检测免疫组化结果确诊小细胞肺癌。 , k& I# a/ m! O3 g7 ]- o
入院诊断: 右肺小细胞癌 ,肺内、肾上腺、骨转移 (广泛期 cT4N3M1) 2 b1 p8 m9 A0 w$ \7 c3 ?
病理报告:2025年10月17日 (右肺)高级别神经内分泌癌,倾向小细胞癌。 免疫组化结果:CD56(+)SyA(+)NSE(+),CA(弱+),Ki67(90%+),TTF-1(+),INSM1(-),CK(点状+)Vimentin((-),CD34(-),40(),NapsinA( ) 基因检测结果:未检测出把靶向药相关基因变异RB1基因变异:p.K462 变异频率:43%。
$ [4 R0 u+ ^/ |& [) c- Z
影像报告PET/CT:2025年10月15日
4 f7 `' i5 [; t+ X6 N治疗经过:
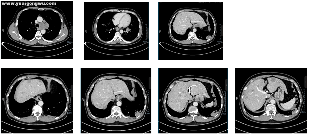
2025年12月19日,由于咳嗽继续加重并伴随夜间咳嗽气喘无法平躺、日间无力及体温升高、血氧饱和度下降再次入院检查。CT平扫结果显示主病灶从7*4.9CM,明显进展(应是炎症反应)。血象、C反应蛋白、肝功等均显示异常,但是细菌真菌病毒检查均阴性。 2025年12月22日,经过入院做抗生素、激素及止咳化痰雾化治疗,肺部感染得到控制,病人体征体感慢慢恢复正常。CT检查主病灶大小和19日检查相同,水肿感染情况相对好转。
2025-12-22 胸部CT(7cm x 4.9cm) 9 H2 U& u# {" E! I8 e3 ^
2025-12- 30 胸部CT(7cm x 4.9cm)
. d. U7 H7 e1 c1 U% P @
2026-1-16 胸部CT(6cm x 3.9cm) * I2 \5 A9 \0 c6 @& a8 b: X6 J
向下滑动查看病例详情 ; O+ |" w1 [2 D* T
患者诉求: 1、继续使用原免疫药物维持治疗,还是换成其他免疫药物? 2、如果四化耐受较好,结合患者的年龄,是否有必要进行5-6化? 3、由于主病灶及纵膈肺门等缩小不够明显,根据病灶情况,是否可以介入治疗主病灶? 4、放化疗结束后选择单免维持,还是采用口服依托泊苷+免疫+安罗替尼等组合? 5、如一线耐药,身体条件和时间窗口允许,是否可以评估入组?入组和二线治疗相比,哪个获益更大? 6、主病灶因为炎症住院再检查CT时,出现增大,经过消炎治疗和第四次化疗出现缩小,但仍比最初要大,是否说明炎症没有完全消退? 7、患者的ProGRP一直居高不下,但已从初诊超过5000降至1740,但还是远超出标准指标,有哪些提示意义?
! s1 t8 d* v9 ^* E% F7 o
董宇杰教授(病理科) 结合原单位免疫组化结果,患者诊断为典型的小细胞癌,CD56、Syn、NSE等神经内分泌指标及TTF均呈阳性,Ki67指数高达90%,符合小细胞癌表现。患者初始肿瘤负荷较大,仅行穿刺活检,肿瘤标志物CEA轻度升高。鉴于穿刺组织量较少,病理诊断中需警惕复合性小细胞癌的可能。 7 b4 |% J: h0 A% t1 r' s) v9 S$ b
李成海教授(影像科) 结合患者CT检查,可见右肺门占位、纵隔及颈部多发淋巴结转移,左侧肾上腺亦有代谢异常。对比12月15日、12月19日及1月16日的影像结果,1月16日病灶明显好转,肺门软组织影较前逐渐缩小,相关实变范围亦显著减小(考虑合并放射性肺炎)。因本次未提供淋巴结相关详细影像,暂无法判断淋巴结情况。关于介入治疗可行性,因患者病变位于肺门,且病灶已明显缩小,加之肺门区域有重要血管、支气管分布,无论冷消融或热消融,均存在较高风险且无法解决实际问题,所以建议后续在肿瘤内科治疗基础上,可考虑加用放疗。 2 c5 V& X+ ~' x/ C9 ~- x4 R: T F& W6 J
王丰教授(胸外科) 该患者为广泛期小细胞肺癌,从胸外科角度而言,无法通过手术改善预后,需由放疗科、肿瘤内科各位教授联合制定综合治疗方案。 8 z1 O7 r6 ~& ]: P* d' T$ I% A
高远教授(肿瘤中心) 患者肺炎经激素冲击治疗后控制良好,结合CT评估可见炎症吸收佳,第五周期化疗已重启替雷利珠单抗免疫治疗。个人建议,可观察患者后续情况及肺部影像变化,若未再出现肺炎或其他不可耐受副反应,可继续使用替雷利珠单抗维持治疗。 * K5 u( K7 i9 R
目前患者已完成第五周期化免联合治疗,临床中需重点观察广泛期小细胞肺癌患者的治疗副反应与疗效;若副反应耐受良好,且第四周期较第二周期病情进一步缓解,可根据患者耐受性及疗效,决定是否进行第五、六周期治疗。 ' ~$ b& p) O7 \0 x$ b, u) x
结合右肺门病灶明显好转、肺内炎症吸收良好的情况,赞成加用局部放疗巩固疗效,放疗结束后建议采用单免维持治疗,此为临床常规方案。患者年龄77岁,二线治疗若除外临床研究年龄上限限制,有入组机会可优先考虑,相关新药对比标准二线单药方案,或能带来更大获益。 : d; w3 ], E: b2 I8 R! w
肿瘤标志物proGRP可作为疗效评价辅助指标,患者该指标从初始大于5000降至1400余,虽未达正常范围,但下降趋势明显,结合影像评估可证实治疗有效,无需过于纠结其是否降至正常范围。 " K2 l) F: \ l5 C) k5 w8 N
患者连线 感谢各位专家教授的详细解答,让我们明确了后续治疗方向,现还有两个疑问请教。
! f5 p- ` s4 w: r `一是后续拟按建议评估放疗,但患者年龄较大,担心放疗引发放射性肺炎,想了解该并发症的发生概率;另外,患者于2月6日五化结束后,暂停治疗(因春节想让老人休息,未进行六化),进入单免维持阶段,计划正月后评估放疗,想知道放疗期间是否需要暂停免疫治疗。 . o: K3 j+ H! q' k' T% P+ o, L! g" w
二是病理教授提及小细胞癌需警惕复合性可能,患者当时穿刺取检组织较少,担心存在小细胞癌合并大细胞癌、鳞癌或腺癌的情况,想了解需进一步做哪些检查以排除复合性病变的可能。 2 { a' g+ K7 f' y. G
张旭教授(放疗科) 局部放疗对小细胞肺癌至关重要,即便患者为广泛期小细胞肺癌(病变已转移至骨、肾上腺等胸腔外部位),治疗仍以全身治疗为主,患者此前完成的五个周期化免联合治疗及目前的免疫维持治疗,均符合指南推荐,方案规范正确。在全身治疗后病灶明显缩小的阶段,加用局部放疗是指南推荐的方案,有数据支持可提升治疗效果,实现全身与局部治疗兼顾。 4 N; |1 ^1 B6 t+ S
关于放射性肺炎的顾虑,该并发症客观存在,亚洲人群发生率高于欧美人群,其发生与患者年龄(年龄越大风险越高)、化疗毒性积累、肺基础疾病、既往肺炎症史及同期免疫治疗等因素相关。患者此前有肺炎症史、化疗及免疫治疗史,且年龄较大,确实需重点关注。放疗期间,若家属顾虑较高,可暂停免疫治疗(放疗周期约1个月,可待放疗结束后再恢复);条件允许也可同期进行,但结合患者情况,更建议暂停1个周期。目前临床采用适形调强放疗,可根据肿瘤形状精准照射并调整射线强度,同时通过评估V5、V20、平均肺受量等指标,保障正常肺组织安全。即便采取上述措施,仍有少数患者可能出现放射性肺炎,建议家属与放疗科医生充分沟通,严格控制肺受量限值以提升安全性。
x, ~' g. j$ E. j9 A针对复合性小细胞癌的疑问,此类情况分为两种:一是同时存在小细胞癌与其他类型肿瘤,二是小细胞癌治疗后转化为腺癌、大细胞癌等其他类型。结合患者目前治疗情况,病灶持续缩小、治疗规范有效,且暂无证据提示存在复合性病变,建议先按现有方案推进治疗。穿刺活检存在一定偶然性,可能因取检部位局限未发现合并病灶,但当前无需急于进一步检查;若后续肿瘤出现增大或进展,可通过穿刺、气管镜等方式再次取检明确病理类型;若家属顾虑极高,也可在合适时机主动申请活检等相关病理检查。 . X2 m) @; W8 V8 l
患者连线 非常感谢各位专家的详细清晰解答,我们将按建议推进下一步治疗。另有一个疑问请教,关于放疗医院和医生的选择,我们了解到放疗技术水平对治疗效果影响较大,想请专家给一些建议,例如市级医院是否适合为患者进行放疗?
4 i4 r/ |6 N! Y. C5 k8 D
张旭教授(放疗科) 放疗行业专业性较强,对治疗设备、医生经验、团队协作(包括物理师、技术员摆位等)均有较高要求。总体而言,高级别大医院及优质肿瘤中心,通常具备更悠久的诊疗历史、丰富的临床经验、先进的治疗设备及完善的团队配置,在放疗治疗效果和安全性上更具优势。 & U: K0 o( |1 x* A1 j: E: x
胡瑛教授(肿瘤中心) 该病例目前治疗效果显著,虽初期因主病灶大小测量存在疑虑,但结合1月16日CT影像可见,患者病灶较此前明显好转,且优于12月15日影像表现。除主病灶改善外,双肺整体亦明显清晰干净,说明免疫相关肺炎控制良好、病灶控制理想。综上,个人也认可并同意目前的治疗方案,家属与患者的相关顾虑实属正常,但当前治疗整体平稳,建议家属对现有治疗方案保持信心。 7 ?* e- s5 w$ _, M! l5 p
病例二:合并风湿病史,SCLC免疫不耐受后的治疗选择
! ]( Z8 j1 y( Y3 G
患者概况: 患者为64岁男性; 2025年4月份咳嗽严重,在社区卫生服务站输消炎药20天后状况缓解。但体重骤降20斤左右后到医院做ct查出肺部恶性肿瘤。6月17日进行PET-CT检查,确诊右肺上叶小细胞肺癌(T3N2M0 IIIB期)。 ( u1 a7 J# Y3 t; g
治疗过程: 第一次化疗时间:7月11-7月15 依托泊苷+卡铂 第二次化疗时间:8月6日—8月10日 依托泊苷+顺铂+度伐利尤 第三次化疗时间:8月30日—9月3日 依托泊苷+顺铂+度伐利尤 第四次化疗时间:9月24日—9月28日 依托泊苷+顺铂 第五次化疗时间:10月22日至10月26日,化疗药物为顺铂+依托泊苷 第六次化疗时间:11月12日至11月17日,化疗药物为卡铂+依托泊苷
" Y- Z0 D& l1 j2 D6 M% s9 Y8 c治疗效果: 右肺原发病灶缩小
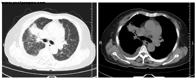
2025年6月初诊PET-CT
2026年2月最近一次PET-CT . H4 V, w3 L: u+ L, P) u" i2 H' A: C+ o
向下滑动查看病例详情
7 a$ `. ~* j+ S* b3 M
患者诉求: 1、第6次化疗原发灶减小不明显,后续是否可以手术? 2、如果不手术是否还有其他治疗方式? 3、是否继续免疫治疗或者增加放疗? : y0 {; H' Z7 |( U; E& o/ K
王丰教授(胸外科) 从外科角度判断,该患者完成六次化疗后再行手术,不符合治疗指南要求。小细胞肺癌仅部分极早期患者可考虑手术,也有部分患者经术前辅助治疗、肿瘤缩小后虽可行手术,但多为解决严重咯血、疼痛等影响生活质量的症状,而非改善生存。单纯从生存角度而言,手术方案并不适用于该患者。
/ g5 s* K7 k: X& o) {张旭教授(放疗科) 该病例确诊为局限期小细胞癌,无远处转移。对于此类病例,放疗需更积极主动、提前介入,目前患者已完成六次化疗且病灶缩小。从治疗规范及指南来看,小细胞肺癌无论局限期还是广泛期,均不推荐手术治疗,其手术获益远不及非手术治疗,无需过度纠结于手术方案。针对化疗后仍存在的局灶残存病灶,应积极开展根治性放疗,指南推荐可采用每日一次或每日两次的放疗方式。此外,放疗后需长期维持免疫治疗,这是小细胞肺癌患者实现长期生存的关键,不可中断。
9 b J# f. J+ y9 {$ x. q李成海教授(影像科) 观察患者CT影像可见肺部结节,既往CT曾提示不排除外转移可能。这些结节体积不大,最大者约9毫米(不足1cm),若结节无明显变化,从影像角度而言,不首先考虑为转移灶。除此之外,影像方面无其他补充意见。 0 T H; r3 P. ~$ _9 V( N4 F
董宇杰教授(病理科) 结合患者病理报告的HE染色结果及相关免疫组化指标,小细胞癌诊断明确。患者未提供肿瘤标志物结果,亦未行相关基因检测,且治疗效果不佳,病灶缩小不明显。其治疗效果不佳的具体临床原因,需内科医生进一步判断;此外,需考虑是否存在其他病理成分,以及肿瘤标志物是否有相关提示。病理方面无其他补充意见。
7 Y! I) K" o" a6 e& M6 @% K$ @8 J高远教授(肿瘤中心) 首先有个疑问,患者治疗中仅联合两个周期免疫治疗便停止,需明确停止原因是副反应还是其他因素。治疗观点上,认同放疗科意见,患者初始为局限期小细胞癌,经六个周期治疗后,影像提示病灶有明显吸收好转,目前正是放疗介入的合适时机。放疗结束后,需全面评估患者情况,若条件允许可考虑行PCI(预防性脑照射);PCI完成后,若无治疗禁忌,建议继续行免疫维持治疗。
+ w! Y5 F2 [. a7 \6 u) t: q. @患者连线 感谢各位专家的建议。患者停用免疫药,是因使用两个周期后引发风湿性疾病,相关指标至今未下降,遵当地医生建议停药。患者基因检测结果为阴性,胃泌素释放肽前体肿瘤标志物自第二次化疗后至今均正常。第六次化疗后,患者因无法进行免疫维持治疗,改为口服依托泊苷;一个月后复查,原发灶肿瘤增大,此前第六次化疗后肿瘤曾明确失活,本次复查报告提示不除外炎性病变及病变可能。 ^4 H0 B* @5 G) k1 a( V
主要咨询两个问题:一是患者曾出现肿瘤失活,目前疑似复发,选择二线治疗、直接化疗还是放疗更合适;二是是否需要进行预防性脑照射,还是待头部出现转移后再行局部治疗?
3 {8 Y& Q6 _/ C9 b) T
张旭教授(放疗科) 针对患者提出的两个核心问题,首先要明确放疗的必要性。局限期小细胞肺癌的治疗原则是胸部放疗介入越早越好,该患者并非是否需要做放疗,而是已错过最佳时机,若身体条件允许,强烈推荐尽快进行局部放疗。关于免疫治疗后续方案(换药、减量等),建议参考内科教授后续意见,需明确免疫治疗是小细胞肺癌治疗的重要突破,多项临床试验已证实其能显著提升患者生存期。 8 F; a) j5 q" v# j4 L7 I, ]
关于预防性脑照射(PCI),国内指南虽推荐全身治疗效果理想者行PCI以提升生存期,但PCI可能损伤患者记忆力、反应力,目前业内存在争议,相关临床试验仍在进行中(一组进行PCI,一组每3个月脑核磁随访、出现转移再进行头部放疗)。结合该患者此前治疗效果不佳的情况,建议完成局部放疗后,可以暂不进行PCI,改为每3个月一次脑核磁定期随访,此方案也同样可行。
* q' J: P! s& [3 ]) v患者连线 患者使用两个周期免疫药物后,出现严重关节肿痛,无法下地活动。患者既往有风湿病,但症状不明显,使用免疫药物后,风湿病症状急剧加重,相关指标超出正常标准数千倍。后续虽给予药物及激素治疗,但指标始终未能得到控制,因此遵医嘱停用免疫药物。 7 q9 Y3 v6 e3 T( ^9 l
高远教授(肿瘤中心) 针对该患者情况,后续免疫治疗需格外慎重,风湿免疫类疾病是选择免疫药物的重要考量因素。既往有风湿免疫病史或正接受相关治疗的患者,不建议联合免疫治疗。该患者治疗中出现明显风湿指标异常,使用免疫药物的风险较高,后续能否重启免疫治疗,需联合相关科室进行全面检查评估,且评估后需谨慎决策。
/ `( K" h% r7 U( y: R0 L g5 J
患者连线 若无法使用免疫治疗,是否还有其他治疗方案?年后为患者增加放疗后,若进入治疗空窗期,该空窗期是使用安罗替尼治疗,还是采用其他合适方案?
- g5 S3 S9 [( W) p4 Z
高远教授(肿瘤中心) 建议完成放疗后,对患者病情进行全面评估,再决定后续治疗方案。后线可选治疗方案包括二线单药化疗药物、安罗替尼等方案,需结合放疗后局部病情控制情况综合判断。
8 G a, t$ a/ a O* B7 J$ t$ L
胡瑛教授(肿瘤中心) 同意张旭教授、高远教授的建议,该患者应加用放疗。结合病例情况,患者病理类型为小细胞肺癌,且属于局限期,放疗在局限期小细胞肺癌治疗中具有重要作用,因此当前重点建议进行放疗。局限期小细胞肺癌常规推荐放化疗后联合免疫治疗,但该患者前期使用免疫治疗后明显不耐受,基础疾病无法耐受免疫治疗,故同意高远教授观点,目前不建议重启免疫治疗。 ) N* S h2 p+ j% u$ A; q3 Z
关于放疗后的空窗期是否需要治疗,需结合患者放疗后的具体病情综合判断:过度担心空窗期病情变化而盲目积极治疗,未必能给患者带来临床获益。免疫治疗无法进行的情况下,后续可选治疗包括化疗、小分子多靶点口服抗血管生成治疗,但目前无法过早推荐,需待放疗后根据病情评估结果,再制定下一步治疗方案。 . r$ ^, I& q/ U8 W+ J
病例三:广泛期SCL合并脑膜转移:治疗难点与突破方向
" C6 g- w& L5 P: I$ s
患者概况: 65岁男性,身高165cm,体重61kg,既往无基础病; 患者2025年7月就诊于湖南省直中医院,腹部增强CT(2025-7-28):肝实质内弥漫大小不等弱强化结节,考虑转移瘤可能性大。 2025年7月29颈胸增强CT:左下肺外基底段及左肺下叶前内基底段新见肿块,考虑恶性肿瘤(肺癌并肺内转移可能性大);左侧胸膜局部增厚不均匀强化:考虑转移;左锁骨上窝、纵隔及左肺门多发肿大淋巴结:转移性淋巴结可能性大;左侧第6后肋、胸椎及胸骨多发溶骨性骨质破坏:考虑骨转移瘤,右侧髂骨成骨性改变。肝实质内弥漫大小不等弱强化结节,考虑转移瘤可能性大;余双肺多发小结节,部分新见,转移待排,建议追踪复查。 2025年7月30日头部增强MRI:脑萎缩;颅内未见异常强化灶。 确诊为:左肺下叶小细胞癌(T2N3M1c IVB期),左肺门、纵隔及左侧锁骨上淋巴结转移、肝转移、骨转移; 其他诊断:慢性阻塞性肺疾病、双肺间质纤维化、左肾囊肿;
5 X$ {; s1 R, B: G治疗过程: 一线治疗:2025-8-5 至2025-11-25行EP方案+阿替利珠单抗治疗4周期,阿替利珠单抗维持治疗2周期,地舒单抗治疗骨转移; / s) X( Z0 h! Q: m5 H' k
一线治疗效果如下: 由于患者从后颈到前额阵发性头晕头痛,紧急入院检查核磁(2026年1月12日)。化放同时患者头晕、头痛、呕吐,进食少,输营养液。
6 R* y; C# j }) a7 g* X1 r; K2026-1-12头部增强MRI:双侧小脑及大脑软脑膜多发增厚强化;左侧小脑半球及左侧颞叶强化结节:考虑脑转移。右侧半卵圆中心病灶并弥散受限,考虑脑转移瘤可能性大,脑萎缩。
; y" `7 \( D- b8 l# `二线治疗:2026-1-14芦比替定化疗,2026-1-15全脑放疗。 * M" C' b8 G7 ^5 C6 `( ~
治疗效果如下: 2026-2-4复查胸腹CT,对比2025-12-11片: 1、左下肺外基底段病灶较前稍增大,请结合临床; 2、左侧胸膜局部增厚较前相似;支气管疾患并肺气肿,双肺少许慢性炎症同前;双肺间质性纤维化大致同前; 3、左锁骨上窝、纵隔及左肺门、脊柱前增大淋巴结较前增大增多,考虑转移性淋巴结; 4、左第2前肋及右第6肋腋段陈旧性骨折,不除外病理性骨折;胸椎骨转移瘤基本同前; 5、肝S6段新增转移瘤可能,余肝内转移瘤基本同前,建议MRI增强扫描; 6、双肺多发小结节,部分较前新增,不除外转移瘤,建议复查;余况同前,建议全身PET-CT检查。 - U+ A Y9 E1 ?
2026-2-7,鞘注甲氨蝶呤10毫克,预计年前再做一次(患者症状进展很快,除了之前的后颈硬疼活动受限,腰疼,大小腿流串性酸痛,现在走路不稳,人有些糊涂,大小便失禁几分钟就说要上厕所这两天都睡一会就醒来上厕所其实并没有)
8 _8 x/ G9 R8 P' N2 J' f1 n0 X向下滑动查看病例详情
) r& b( y9 K' z) |- n
患者诉求: 1、是否需要增加替莫唑胺?什么时候增加合适? 2、原发灶稳定,远处转移部位较多,接下来是继续使用芦比替定还是改为安罗替尼?
$ @! ]' f& Y: M) g7 r
李成海教授(影像科) 梳理患者全部影像资料如下:2025年7月份初始胸部CT提示,左下叶有两个病灶,伴左胸膜增厚,左锁骨上、左肺门淋巴结转移,同时存在骨转移及肝脏多发转移。经治疗后,肝脏转移灶治疗效果显著,逐渐减少,后续多个治疗周期后,肝脏转移灶基本消失。2026年1月12日头部增强核磁显示,大脑脑膜、颅内出现转移灶及强化结节;1月24日复查CT对比2025年12月11日结果,左下叶外基底段病灶稍增大,胸膜增厚与既往一致,同时出现淋巴结增大及双肺新增小结节。结合影像表现,相较于治疗最佳时期,当前病灶增大、双肺新增小结节,转移概率较高。因目前不清楚新增结节具体大小,建议进一步行CT等检查完善评估。
6 |+ {9 }) q( ^6 F: T8 {$ {; w7 O! h
董宇杰(病理科) 患者病理诊断为小细胞癌明确,形态学及免疫组化结果都明确支持该诊断。关于脑脊液细胞学检查用于排查脑转移,目前常规采用沉渣液基细胞学蜡块检查,初次阳性率约50%,阳性率较低的主要原因是送检量有限(常规为10毫升),多次送检可将阳性检出率提升至85%;随着分子病理学技术发展,采用ctDNA检测,初次阳性率可达到85%以上,但该检测费用较高。
- y0 M4 }4 P3 M3 s$ W2 _" A张旭教授(放疗科) 脑转移合并脑膜转移的治疗难度较大,结合头部核磁可见颅内多发转移灶及脑膜强化,结合脑脊液病理结果,该诊断可明确。理论上,脑膜转移伴脑脊液阳性者需行全脑全脊髓放疗,但临床实践中,该方案患者耐受度极低,且放疗剂量难以达标。该患者仅行全脑放疗即出现明显恶心、呕吐等不良反应,目前全脑放疗已是此类患者(脑转移、脑膜转移或脑脊液病理阳性)的常用且公认的治疗方式。全脑放疗期间需监测患者颅内压,若出现高颅压症状,需使用甘露醇脱水以缓解恶心、呕吐等不适。 0 x! }8 T0 V. B' b2 B/ N% _- y
小细胞肺癌在所有肺癌中恶性程度最高,具有易复发、进展快的特点,本例患者在胸部放疗开始前即出现脑转移,正是其典型表现。针对患者其他部位的局部进展,建议在全身治疗基础上,对进展部位积极介入局部治疗,如肝脏单一部位进展可尝试局部放疗。广泛期小细胞肺癌治疗需以全身治疗为主、局部治疗(如放疗)为辅,实现全身与局部治疗结合。 ; W0 \2 j& f7 N( h
王丰教授(胸外科) 该病例已出现脑转移,属于广泛期小细胞肺癌,胸外科方面无特殊治疗建议。
! [/ s" H3 C/ p2 {) p2 d0 z高远教授(肿瘤中心) 患者二线治疗期间(芦比替定与全脑放疗),出现进食量少、无法进食的情况,且启动二线治疗前未完善基线CT检查。患者一线曾使用免疫治疗,末次给药时间为12月25日,随后疾病进展进入二线治疗阶段,仅使用1周期后,2月4日复查CT即发现新发病灶,对于是否重启免疫治疗,个人持保留意见。若患者身体状况允许,建议在芦比替定治疗基础上联合安罗替尼。此外,2月7日已为患者行10毫克甲氨蝶呤鞘内注射,后续治疗需结合患者全身PS评分、各项检查结果,评估其耐受度;若患者进食差,可通过静脉营养或肠内营养支持,再判断能否继续治疗。无治疗禁忌的情况下,鞘内注射建议初始阶段每周1次。
9 `9 C* V/ O* {& l综上,建议患者后续治疗方案为芦比替定联合安罗替尼,同时行鞘内注射治疗,后续根据患者治疗情况全面评估疗效,再决定下一步治疗计划。鉴于患者疾病进展较快,治疗难度较大,需逐步观察调整方案。
, q. D# A+ g( @8 o- _* W胡瑛教授(肿瘤中心) 从影像资料来看,患者前期治疗效果显著,肺内及肝脏病灶均得到良好控制。但小细胞肺癌的生物学行为决定其恶性程度高,即便前期疗效理想,也可能快速进展,患者出现中枢神经系统转移(脑转移合并脑膜转移),正符合该疾病特点,虽令人惋惜,但也属临床常见情况。脑转移本身治疗难度较大,合并脑膜转移后治疗更为棘手,结合当前病情,患者预后不容乐观。不过,二线治疗中启用芦比替定较为及时,该药物获批小细胞肺癌二线适应症,相关研究显示其对脑转移也有一定治疗效果,目前用药时间较短,疗效尚未能明确判断。
1 }' p, z: y1 c- Z: A考虑到小细胞肺癌后线可选药物有限,在未明确芦比替定无效前,建议继续应用该药物,暂不考虑替换。同时可参考放疗科意见加用放疗,但需重点评估患者耐受度,当前患者临床状态不佳、PS评分较差,无法确定其能否耐受放疗。后续治疗需权衡疗效与患者耐受度,在患者可耐受的前提下,尽量强化治疗以控制肿瘤进展。整体而言,患者治疗前景不容乐观,但仍需循序渐进、积极尝试,不放过任何治疗希望,逐步观察调整方案。
: k/ J/ q9 v2 m3 I4 N结束语 + M- D# }. W+ X% L6 T
在直播最后,胡瑛教授总结道:每期讨论的病例,不仅是让参与的患者及家属深入了解病情,也希望能给其他患者提供借鉴,助力大家结合自身情况获取参考和提示。需要提醒大家的是,线上讨论名额有限,若有需求,也可携带病例前往线下面诊。北京胸科医院每天下午两点设有多学科(MDT)会诊,此前仅针对住院患者,目前已向门诊患者开放。有需求的患者可挂门诊号,申请MDT会诊,汇聚多科室专家共同研讨病例。单一科室或个人对病例的思考角度有限,多学科讨论中,专家们相互借鉴、补充,往往能制定出更适合患者的方案。对于复杂病例,无法仅凭指南和规范制定一成不变的治疗方案,个体化治疗才是关键。希望该线上会诊活动能切实为各位患者提供帮助,不辜负大家的支持与工作人员的付出。
: o& |9 G9 h1 \: L$ W P( l( E t2 S
; {$ N9 s, p4 w: S1 E- `首都医科大学附属北京胸科医院 患者门诊申请肿瘤多学科诊疗(MDT)流程
x. t/ a; F7 B! J' v9 q
( u9 o: L8 S5 Q, `* [" j1 服务对象 自愿申请或门诊出诊医生认为有必要行肿瘤多学科诊疗的患者。 2 服务时间 每周三下午15时至16时 3 服务收费 依据当日肿瘤MDT排班医生级别收费 4 服务要求 由当日肿瘤MDT主席给予患者及家属诊疗结论。
! G1 h# @! x/ f& K
0 X4 x0 i- i* `6 `8 R
3 B/ q0 Y+ K9 @+ C) x具体执行流程
! y1 @9 y8 P7 U' R& a- @
! o7 T* G7 |6 x) U3 K! F u1 患者于当日上午肿瘤门诊就诊(各级别均可,建议挂肿瘤科普通号即可) 2 由出诊医师审核患者携带资料是否完整,是否可供MDT专家进行讨论研判。资料不完整者予以告知患者待资料完善后再行就诊。 3 资料完整、需求合理的患者可由出诊医生协助患者完成当日MDT专家号预约(依据当日我院MDT排班专家职称予以挂号)。 4 患者缴费挂号后请出诊医师书写MDT会诊申请单,让患者或者家属于下午会诊时交给当日MDT秘书。 5 告知患者当日下午14时于我院手术室二楼家属等候区等待,将完整资料和会诊单交给当日MDT秘书。 6 经MDT讨论后由MDT秘书将结论书写于会诊单上并由当日MDT主席向患者或其家属解释诊疗结论。 " M! g4 E/ D1 e" r
与癌共舞公众号及网站及APP上发表的文章及讨论仅代表作者或发帖人个人观点,不代表平台立场。
( R# {" ^! M- L5 S5 z与癌共舞公众号文章经医学编辑和版主审核,具有明显谬误和不良引导的文章将禁止发表。 & W: x2 p" z% k: Q
|